Dantų Centras
Estetinis plombavimas

APIE PASLAUGĄ
Kas yra estetinis plombavimas
Patarimai po estetinio plombavimo procedūros – kad dantys išliktų sveiki ir gražūs kuo ilgesnį laiką:
Raudono vyno, mėlynių, burokėlių ir pan.
valykite dantis dantų šepetėliu ir dantų pasta, dantų tarpus valykite specialiu siūlu ar tarpdančių šepetėliais
Paslaugos aprašymas
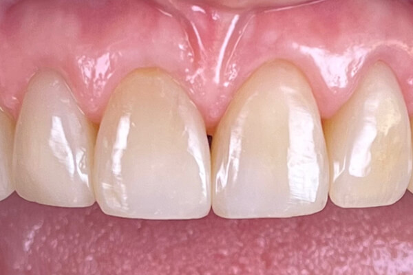
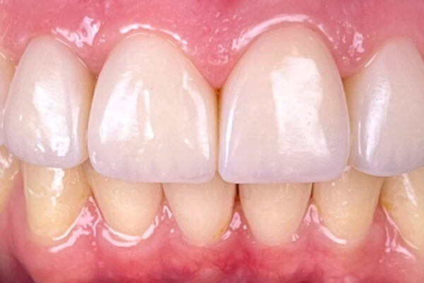
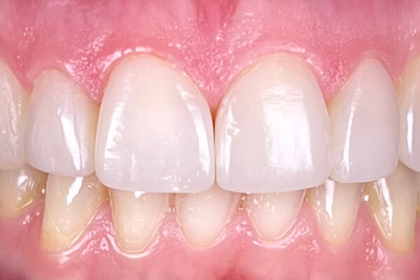
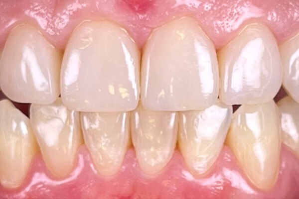
Estetinio plombavimo būdu dantys atkuriami sluoksniais, artimais natūraliai danties anatomijai. Taip sukuriama natūrali danties išvaizda: spalva, skaidrumas, forma, individualūs danties bruožai.
Estetinis plombavimas gali būti taikomas gydyti ir gražinti tiek priekinius, tiek krūminius dantis. Plombuojant krūminius dantis, svarbu ne tik defektiškai užpildyti danties ertmę, bet ir taisyklingai atkurti prigimtinę danties formą.
Rekomenduojama 2 kartus per metus pasitikrinti dantis pas gydytoją – odontologą ir atlikti poliravimą tų dantų, kuriems buvo atliktas estetinis plombavimas.
High-quality materials
Diam parturient adipiscing aliquam duis ornare risus, interdum. Metus tristiqu.
Experienced team
Diam parturient adipiscing aliquam duis ornare risus, interdum. Metus tristiqu.
Estetinį plombavimą atlieka
Kainoraštis
Konkreti gydymo kaina nurodoma po pirminės konsultacijos ir gydymo plano sudarymo, tačiau kviečiame peržiūrėti bendrines klinikos paslaugų kainas.
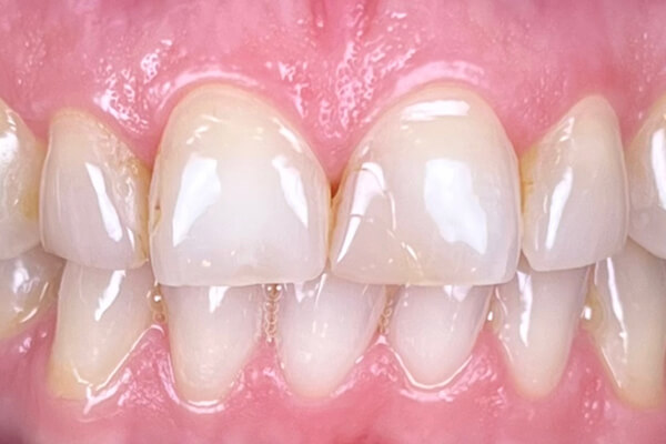
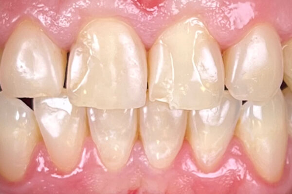
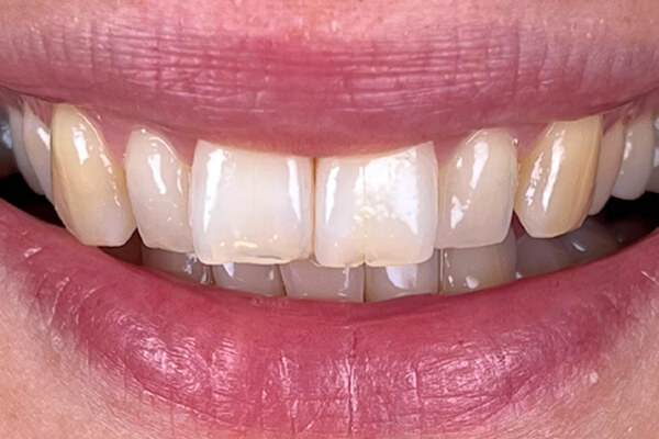
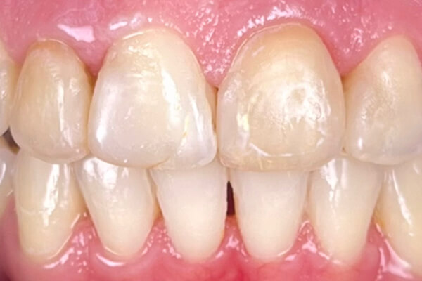
Atliktų darbų galerija







Vizito užklausa
Užklausa vizitui internetu

Laukite atsakymo tą pačią arba sekančią darbo dieną – suderinsime apsilankymą arba atsakysime į Jums rūpimus klausimus telefonu.




